Овқатдан кейинги оғирлик - гастритнинг биринчи аломатидир. Агар даволанмасангиз, саратонга олиб келиши мумкин !!!



Сизни ошқозон ачишиши, ошқозонда ёниш ҳисси ва оғизда ёқимсиз таъмга олиб келадиган куйиш безовта қиляптими? Ушбу мақолада биз кўнгил айнишининг сабаблари ва аломатларини батафсил кўриб чиқамиз. Сиз юзага келиши мумкин бўлган асоратлар ва унга қарши курашиш усуллари ҳақида билиб оласиз.

Биз Испаниянинг етакчи гастроентерологи Алехандро Моралес билан суҳбатлашдик. Шифокорнинг таъкидлашича, кўп кўнгил айниши гастритнинг дастлабки белгисидир, бу ошқозон яраси, ошқозондан қон кетиши ва ичакларга озиқ-овқат ўтишига тўсқинлик бўлишга олиб келиши мумкун Бу ёмон овқат ҳазм қилиш ва ич қотишига олиб келади, бу эса танада токсинларнинг тўпланишига олиб келиши мумкин. 50% ҳолларда гастрит саратонга ўтиши мумкин, бу эса ўлимга олиб келиши мумкин.

Шифокор, европалик олимларнинг изланишлари ва сўнги янгилликлари билан ўртоқлашди:


Алехандро Моралес 20 йиллик тажрибага эга шифокор ва тиббиёт соҳасида Нобел мукофоти совриндори.


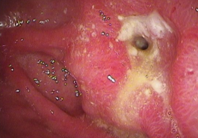
Гастрит билан боғлиқ белгилар

Гастрит - бу ошқозон шиллиқ қаватининг яллиғланиши. ИНЕГИ (Испания Миллий статистика ва география институти) маълумотларига кўра, испанларнинг 65 фоизи гастритдан азият чекади, бу 18 ёшдан 60 ёшгача бўлган 70 миллион кишини ташкил қилади. Ное бунинг сабабини қуйидагича тушунтиради: "Испанлар аччиқ овқатларни яхши кўрадилар ва тез-тез спиртли ичимликларни истеъмол қиладилар, бу эса ошқозон-ичак трактини безовта қилади, бу ошқозон-ичак трактининг яллиғланишига олиб келади."

Ошқозон диспепсияси

Бу аччиқ овқатларни истеъмол қилиш туфайли юзага келади ва овқат ҳазм қилишни бузади. Ёмон ҳазм қилинган озиқ-овқат ичак орқали ҳаракат қилишда қийинчилик туғдиради, бу овқатдан кейин оғирлик ҳисси пайдо бўлишига олиб келади. Кабıзлıк ривожланади ва нажас тўғри бўшатилмаса, бу тананинг заҳарланишига олиб келиши мумкин. Бу қон заҳарланишига олиб келиши мумкин, бу эса ўлимга олиб келиши мумкин.

Оғриқ синдроми

Бу спиртли ичимликларни истеъмол қилиш натижасида юзага келади. Спиртли ичимликлар ошқозонда ортиқча меъда шираси ва хлорид кислота ишлаб чиқаришга олиб келади, овқат ҳазм қилиш тизимининг деворларига, шу жумладан ошқозон ва ичакларга зарар этказади. Бу қизилўнгачда оғриқли спазмлар ва ёниш ҳисси пайдо бўлишига олиб келадиган оғриқни келтириб чиқаради.


Кислота, шунингдек, капиллярларга зарар этказади, бу эса қон кетишига олиб келиши мумкин бўлган қусишни келтириб чиқаради. Вақт ўтиши билан бу қон кетиш сурункали бўлиб, анемия ва паст гемоглобин даражасини келтириб чиқаради, бу эса иммунитетни заифлаштиради.

Гастрит чарчоқ, иштаҳани ёқотиш ва вазн ёқотиш каби ҳолатларга олиб келиб. Тана муҳим озиқ моддалардан маҳрум бўлиб, мия, жигар ва юракнинг ишига таъсир қилади.

Қайтариб бўлмайдиган зарарга олиб келадиган ва ўлимга олиб келадиган гастритнинг асоратлари:

Гастрит ўз вақтида даволанмаса, ошқозон яраси, саратон каби асоратларни келтириб чиқариши мумкин.


Ошқозон яраси

Гастрит, ошқозон инфектсиясини келтириб чиқарадиган Хелекобактер каби бактерияларнинг кўпайишига ёрдам беради. Бу қон кетишига, кучли оғриқларга ва қора нажасга олиб келиши мумкин. Ошқозоннинг бир қисмини жарроҳлик ёъли билан олиб ташлаш керак бўлиши мумкин. Сиз бутун умрингиз давомида қаттиқ диетага риоя қилишингиз, спиртли ичимликлар, аччиқ, шўр, қизариб пишган ва кислотали овқатлардан воз кечишингиз керак бўлиб қолади.


"Агар даволанмаса, ошқозон яраси тешилиб, ошқозонда тешик пайдо бўлиши мумкин. Овқат қорин бўшлиғига кириб, тўқималарни зарарланишига қилишга олиб келади, бу сепсис ва ўлимга олиб келиши мумкин."


Ошқозон саратони

Ошқозон шиллиқ қаватининг доимий яллиғланиши малигн ўсмага олиб келиши мумкин. Саратон ҳужайралари жигар, ўпка ва ҳатто суякларга таъсир қилиши мумкин, бу органларнинг ишига таъсир қилади ва оғриқ келтиради. Қўшимчалар вайрон бўлади, ҳаракатчанлик бузилади. Оғриқ шунчалик кучли бўлиши мумкинки, беморни комага ётқизиш керак. Ривожланган саратон ва комада умр кўриш давомийлиги камдан-кам ҳолларда икки ойдан ошади. Ўлим касалликнинг ўзидан ёки эвтаназияни амалга ошириш тўғрисидаги тиббий қарор ёки ҳаётни қўллаб-қувватлашни тўхтатиш натижасида содир бўлиши мумкин.


"Касаллик асемптоматик бўлиши мумкин, шунинг учун у кўпинча даволанишнинг иложи бўлмаганда кеч босқичда ташхис қилинади. Саратон ҳужайралари бошқа органларга тарқалади ва ягона вариант кутишдир, омон қолиш даражаси одатда 2-3 ойни ташкил қилади."

Дорихоналарда сотиладиган дорилар ён таъсирга олиб келиши ва соғлиқ учун зарарли бўлиши мумкин.

Испанияда гастритни даволайдиган дорилар йўқ. Белгиланган дорилар кўплаб ножўя таъсирларга эга, беморнинг аҳволини ёмонлаштиради ва қўшимча муаммоларни келтириб чиқариши мумкин.


"Мисол учун, баъзи дорилар медулла облонгатадаги хеморесепторларга таъсир қилади, бу эса ангиоедемани келтириб чиқаради яни алергияни. Бу юзнинг шишишига олиб келади, бу эса бўғилишга олиб келади. Тез тиббий ёрдам бўлмаса, шишиш ўлимга олиб келиши мумкин."

Бундан ташқари, баъзи озиқ-овқатлар ошқозон шиллиқ қаватини безовта қилади, кўнгил айниши ва қусишни келтириб чиқаради. Аллергия билан оғриган одамларда улар анафилактик шокни келтириб чиқариши мумкин. Бирор киши ҳушини ёъқотиши ва комага тушиши мумкин, агар 30 дақиқа ичида ёрдам берилмаса, бу ўлимга олиб келиши мумкин.

Шу сабаб олимлар ошқозн билан боғлиқ муаммоларни олдини олувчи ва даволовчи уй шароитида ишлатса бўладиган кўп воситалар устида ишлашди. Ва охири таркибида бутун дунё шифокорлари тан олган кам учрайдиган 20 дан ортиқ ўсимликдан олинадиган махсус экстрактларни ўзида мужассамлаштирган Берлей-актив маҳсулоти ишлаб чиқилди.

Берлей-Актив ошқозон оғриғини энгиллаштиради ва гастритни даволайди.

2026 йилда эвропалик олимлар инқилобий даволаш усулини ишлаб чиқдилар. У сўнгги 10 йил ичида япон, европалик ва америкалик олимлар томонидан олиб борилган энг яхши тадқиқотларга асосланган. Даволаниш 5 000 нафар кўнгиллида синовдан ўтказилди, улар кўнгил айниши овқатдан кейинги оғирлик, язва, ва гастритни муваффақиятли бартараф этишди. Синовлар давомида тадқиқотчилар ошқозон кассаликлари илдизи билан олди олинган кўп ҳолатларни қайт этишди


"Препарат ампула ва капсула кўринишларида мавжуда бўлиб уларни қабул қилиш жуда оссон"

Фойдаси: Капсулалар, маҳсулотнинг қизилўнгачда тўлиқ сўрилишини ва хусусиятларини сақланишини таъминлайди.

У самарали ишлайди - Ушбу восита ошқозон кислотаси ва кислота ишлаб чиқаришни камайтириш орқали хелекобактер бактерияларини йўқ қилишга ёрдам беради. Бу яллиғланишни энгиллаштиради ва ошқозон ва ичак микрофлорасини тиклайди. Бу овқат ҳазм қилишни нормаллаштиради ва ич қотишини энгиллаштиради.

Ичиш ёқимли - Унинг ёқимсиз таъми ёъқ. Бундан ташқари, маҳсулот медага тегмайди ва кўнгил айнишини келтириб чиқармайди.

Қулай сақлаш - Капсулалар ўрами фаол моддаларни кислород ва қуёш нурларидан ҳимоя қилади, бу уларни шифобахш хусусиятларини ёъқотмасдан сақлаш имконини беради.

Берлей-Актив Халқаро Мустақил Тиббиёт Ассотсиатсияси томонидан тасдиқланган. Уни кўрсатмаларга мувофиқ қабул қилинг биринчи курс даволанишдан ошқозон билан боғлиқ муаммоларда сезирарли қутилишни бошлайсиз

Капсула ишлаб чиқариш 1-февралдан бошланган, шунинг учун маҳсулот кичик партияларда ишлаб чиқарилмоқда. Шу сабаб ҳозирча дорихоналарда маҳсулот мавжуда эмас ва фақат ушбу веб-сайт орқали буюртма бериш мумкин.

Бизнинг мақсадимиз одамларгa гастритга қарши курашда ёрдам беришдир. Муҳбирлар ишлаб чиқарувчилар билан суҳбатлашди, ва улар кўпроқ одамлар керакли ёрдамни олишлари учун вақтинчалик 20% чегирма таклиф қилишга қарор қилишди.

РАСМИЙ БУЮРТМА ШАКЛИ

Мурожаатларни қабул қилиш тугаш арафасида25:00
Чегирма муддати
*Буюртма беришда
Шахсий маълумотларнинг махфийлиги
кафолатланади!